Orthopädie

Die Orthopädie setzt sich aus beiden Wortteilen „Ortho“ sowie „Pädie“ zusammen. Nach dem Wortsinn ist die Orthopädie die Erziehung zum aufrechten Gang.

Die Orthopädie bezeichnet das Gebiet der Medizin, das sich mit dem Stütz- und Bewegungsapparat befasst – der Teil unseres Körpers, der uns erst den aufrechten Gang ermöglicht. Dazu gehören im Wesentlichen das Skelett bzw. die Knochen, die Gelenke, die Sehnen und die Muskeln.

Die Orthopädie befasst sich nicht nur mit der Diagnose und Therapie der Erkrankungen des Stütz- und Bewegungsapparates, sondern auch mit der Erforschung, Verhütung und Rehabilitation.

Erkrankungen von A - Z

  • Arthrose
  • Arthroskopie Knie
  • Ausrenkungen der Kniescheibe
  • Carpaltunnelsyndrom
  • Chirotherapie
  • Exostosen
  • Fersensporn
  • Gicht
  • Golferellenbogen und Tennisellenbogen
  • Haglundferse (Haglundexostose)
  • Hallux rigidus
  • Hallux valgus
  • Impingementsyndrom der Schulter
  • Krankheiten des Knorpel- und Knochengewebes
  • Metatarsalgie
  • Mortenneuralgie
  • Morbus Dupuytren
  • Schnappfinger
  • Sulcus-ulnaris-Syndrom, Loge de Gyon-Syndrom
  • Tendinitis, Tendovaginitis

Krankheitsbilder

1) Arthrose
Bei einer Arthrose handelt es sich um eine Knorpelabnutzung in einem Gelenk, wobei unterschiedliche Ausprägungsgrade möglich sind. Je nach Ausprägungsart kommen konservative (Entzündungshemmende Medikamente, physikalische Therapie, orthopädische Hilfen) oder operative Verfahren (arthroskopische Spülung bzw. Gelenktoilette, Knochenumstellungen, Knorpelknochenzelltransplantationen oder prothetische Versorgung) in Frage.

2) Arthroskopie Knie
Minimalinvasiver Eingriff über kleine Stichinzisionen an der Vorderseite des Kniegelenkes zur Diagnostik und Therapie von Kniegelenksverletzungen bzw. Erkrankungen, z.B. Knorpelschädigungen, Bandverletzungen, Meniskusrisse. Der Eingriff wird bei uns regelhaft ambulant durchgeführt.

3) Arthroskopie Schulter
Minimalinvasiver Eingriff über kleine Stichinzisionen am Schultergelenk zur Diagnostik und Therapie von Schultergelenksverletzungen bzw. Erkrankungen, z. B. Kapselentzündungen der Schulter, Entzündungen der Bizepssehne, Verletzungen der Rotatorenmanschette, Engpasssyndrom unter dem Schulterdach. Der Eingriff wird bei uns regelhaft ambulant durchgeführt.

4) Ausrenkungen der Kniescheibe
Das Ausrenken der Kniescheibe wird meist durch eine anlagebedingte Fehlbildung der Kniescheibe und ihres Gleitlagers verursacht. Sie tritt bei jungen Frauen am Häufigsten auf und erfolgt immer nach außen, dabei zerreißt der innere Halteapparat der Kniescheibe. Im weiteren Verlauf kann es auf Grund weiterer ungünstiger anatomischer Gegebenheiten zu wiederkehrenden Ausrenkungen der Kniescheibe kommen, welche dann operativ behandelt werden sollten. Das derzeit gängigste moderne Verfahren diesbezüglich ist eine Bandplastik des inneren Kniescheibenhalteapparates mittels Sehnentransplantat. Dabei wird die Sehne sowohl an der Kniescheibe als auch am Oberschenkelknochen innenseitig fixiert und stärkt darüber den inneren Halteapparat.

13) Carpaltunnelsyndrom
Einengung des sog. Nervus medianus im Carpalkanal an der Hohlhand verbunden mit Gefühlsstörungen, Missempfinden und Schmerzen der von ihm versorgten Finger (Daumen, Zeige-, Mittel- und Teile des Ringfingers). Die Diagnose wird in der Regel klinisch durch eine Untersuchung sowie durch eine neurologische Messung gestellt. Bei geringen Beschwerden ist eine konservative Therapie angezeigt, bei längerfristigen oder starken Beschwerden muss operativ vorgegangen werden. Hierbei wird in einer örtlichen Betäubung ein kleiner Schnitt am Übergang des Handgelenkes zur Hohlhand gesetzt und das darunter liegende verdickte und den Nerv komprimierende Band unter Schonung des Nervens komplett durchtrennt. Häufig ist nach der Operation mit einer sofortigen Schmerzfreiheit zu rechnen. Die begleitenden Muskelminderungen an der Hohlhand sowie Sensibilitätsstörung sind oft erst längerfristig rückläufig.

20) Chirotherapie
Die Chirotherapie oder auch Manuelle Therapie befundet und behandelt mit der Hand die Funktionsstörungen am Bewegungssystem, Kopf sowie an viszeralen und bindegewebigen Strukturen. Diagnostik und Therapie beruhen auf biomechanischen und neurophysiologischen Prinzipien. Bei der Chirotherapie handelt es sich in erster Linie um Mobilisation und Manipulation an funktionsgestörten Gelenken.

6) Exostosen
Gutartige Knochenwucherungen vorwiegend am Schienbein bzw. am Oberschenkel. Bei Beschwerden ist eine Abtragung der selbigen in einer kurzen Vollnarkose notwendig, dieser Eingriff wird in unserer Praxis durchgeführt.

7) Fersensporn
Knöcherner, zehenwärts gerichteter Sporn im Bereich des Fersenbeines. Die Ursache ist in der Regel eine Abflachung des Fußlängsgewölbes (z.B. Knick-Senk-Fuß. Prädisponierende Faktoren: stehender Beruf, Übergewicht). Die Therapie besteht in einer Druckentlastung des Spornes durch Versorgen mit Einlagen samt Pufferabsatz oder Fersenausmuldung. Ggf. kommen lokale Infiltrationen oder eine Ultraschalltherapie als Therapieoptionen in Betracht.

8) Gicht
Bei der Gichterkrankung oder Hyperurikämie kommt es zu einem Anstieg der Harnsäurekonzentration im Blut und in Folge dessen zu Uratablagerungen in Gelenken und auch Weichteilen bzw. Organen. Die Ursachen sind: Übergewicht, purinreiche Nahrungsmittel, übermäßiger Alkoholgenuss, körperliche Überbeanspruchung, Steigerung der Harnsäuresynthese. Die meist konservative Therapie zielt auf die Schmerzen und die Senkung der Harnsäure ab. Bei fortgeschrittenen Gelenkzerstörungen sind auch operative Verfahren in Betracht zu ziehen.

9) Golferellenbogen und Tennisellenbogen
Umschriebenes Schmerzsyndrom am Ellbogen außenseitig (Tennisellenbogen) oder innenseitig (Golfer- oder Werferellenbogen). Die Ursache liegt in einer Überbeanspruchung im Ansatzbereich der jeweiligen Muskulatur teilweise mit Degeneration. Zusätzlich finden sich lokale Entzündungsprozesse. Die Therapie ist langfristig und in der Regel konservativ. Wichtig ist die Unterlassung einseitiger in der Regel ursächlicher Belastungen. Bei Versagen der konservativen Therapie über eine längere Behandlungsdauer kommt die operative Therapie (OP nach Hohmann Wilhelm) in Frage. Hierbei werden die jeweiligen Sehnenansätze entlastet, die dann in narbiger Verlängerung ausheilen, zusätzlich werden kleine Nervenäste denerviert.

10) Haglundferse (Haglundexostose)
Formvariation des Fersenbeines mit überstehendem Knochen am hinteren Rande des Fersenbeines. Die konservative Therapie umfasst Druckentlastung durch Schuhe ohne hintere Kappe, Sandalen oder Barfuß laufen im Sommer oder Erhöhung durch eine Fersenkappe. Desweiteren Anwendung von lokalen entzündungshemmenden Maßnahmen, ggf. Ausweitung und Weichbettung der Fersenkappe. Nur bei Therapieresistenz und länger anhaltenden starken Beschwerden kommt eine operative Versorgung in Form der Abtragung des verdickten Knochens in Frage.

11) Hallux rigidus
Arthrose des Großzehengrundgelenkes. Im Frühstadium erfolgt eine konservative Therapie, im fortgeschrittenen Stadium ist eher eine operative Therapie angezeigt. Sie umfasst die Abtragung von Knochenausziehungen, ggf. ist eine prothetische Versorgung oder eine Versteifung des Großzehengrundgelenkes notwendig.


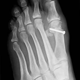
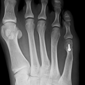
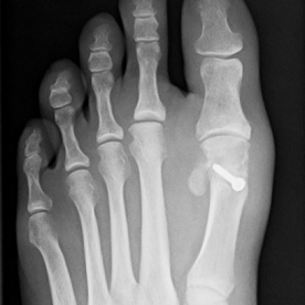
12) Hallux valgus
Häufigste und bedeutendste Zehendeformität mit seitlicher Abweichung der Großzehe im Grundgelenk. Es findet sich eine häufige Kombination mit einer Hammer- und Krallenzehe. Die konservative Therapie, meist im Frühstadium, umfasst die Druckentlastung des Großzehenballens, Barfußlaufen, ringförmige Schaumstoffpolster und Einlagenversorgung.
In fortgeschrittenen Fällen ist in der Regel eine operative Therapie mit Stellungskorrektur der Großzehe notwendig.

13) Impingementsyndrom der Schulter
Engpasssyndrom zwischen dem Schulterdach (Acromion) und den darunter liegenden Weichteilen (Rotatorenmanschette, Schleimbeutel). Die Schleimbeutelentzündung kann sich chronifizieren, teilweise entstehen reaktive Kalkablagerungen in den jeweiligen Sehnenansätzen. Die Therapie ist vorwiegend konservativ. Bei länger andauernder Beschwerdesymptomatik und ausgeschöpfter konservativer Therapie ist eine operative Therapie (in der Regel arthroskopisch) notwendig. Hierbei wird das entzündete Gewebe entfernt und die Unterkante des Acromion abgetragen. Somit wird eine Erweiterung dieses sog. subacromialen Raumes und damit eine Druckentlastung erreicht. Der Eingriff wird ambulant in unserer Praxis durchgeführt.

14) Krankheiten des Knorpel- und Knochengewebes
z.B. Morbus Perthes, Morbus Scheuermann, Morbus Köhler, Morbus Osgood Schlatter

15) Metatarsalgie
Schmerzen im Bereich des Mittelfußes, häufig ausgelöst durch Entzündungen der Fußsohlenweichteile aufgrund einer Fußfehlstellung (Knick-Senk-Spreiz-Fuß).

16) Mortenneuralgie
Vorfußschmerzen, hervorgerufen durch sklerosierende Verdickung der Nerven zwischen den Mittelfußköpfchen. Es bestehen vorwiegend konservative Therapieoptionen. Bei unzureichender Besserung ist die operative Therapie indiziert (Druckentlastung oder Resektion des betroffenen Nervenabschnittes).

17) Morbus Dupuytren
Knoten- und Strangbildung der Hohlhandfaszie direkt unter der Haut der Hohlhand und Finger mit zunehmender Beugekontraktur der Finger. Die konservative Therapie ist in der Regel nicht erfolgreich, da das Fortschreiten der Erkrankung in der Regel nicht aufgehalten werden kann. Die operative Therapie besteht in der Entfernung der Knoten und Stränge.

18) Schnappfinger
Plötzliches, teilweise schmerzhaftes Schnappen des Fingers bei Beugung und Streckung. In zunehmendem Maße auch vollständige Beuge- oder Streckhemmung. Die Ursache liegt in einer durch Überlastung oder degenerativen Veränderungen bedingten Schwellung des Sehnengleitgewebes und knotiger Verdickung der entsprechenden Sehne in Höhe des 1. Ringbandes. Bei erfolgloser konservativer Behandlung ist die operative Versorgung in Lokalanästhesie im Sinne einer Durchtrennung des Ringbandes indiziert.

19) Sulcus-ulnaris-Syndrom, Loge de Gyon-Syndrom
Es handelt sich um Einengungen des sog. Nervus ulnaris am Ellenbogen bzw. am Unterarm ellenseitig. Bei dezenter Beschwerdesymptomatik ist eine konservative Therapie indiziert. Die operative Therapie besteht in der Freilegung des Nerven an der jeweiligen Einengungsstelle ggf. mit Verlagerung des Nerven.

20) Tendinitis, Tendovaginitis
Unter diesem Begriff versteht man die Entzündung von Sehnen oder des Sehnenscheidengewebe in der Regel durch Fehl- oder Überbelastung. Diese Erkrankungen sind Domäne der konservativen Therapie. Eine Ausnahme bildet die sog. Tendovaginitis stenosans de Quervain (Sehnenscheidenenge bzw. Sehnenscheidenentzündung im 1. Streckerfach). Bei ausbleibendem konservativem Therapieerfolg können hier durch eine operative Therapie im Sinne einer Durchtrennung des 1. Streckerfaches können in der Regel sehr gute Erfolge erzielt werden. Der Eingriff erfolgt in örtlicher Betäubung.

Röntgenbilder